
dicomPACS®
Intelligent image management for medicine today and tomorrow
PACS solution for image processing and image management for medical practices and hospitals
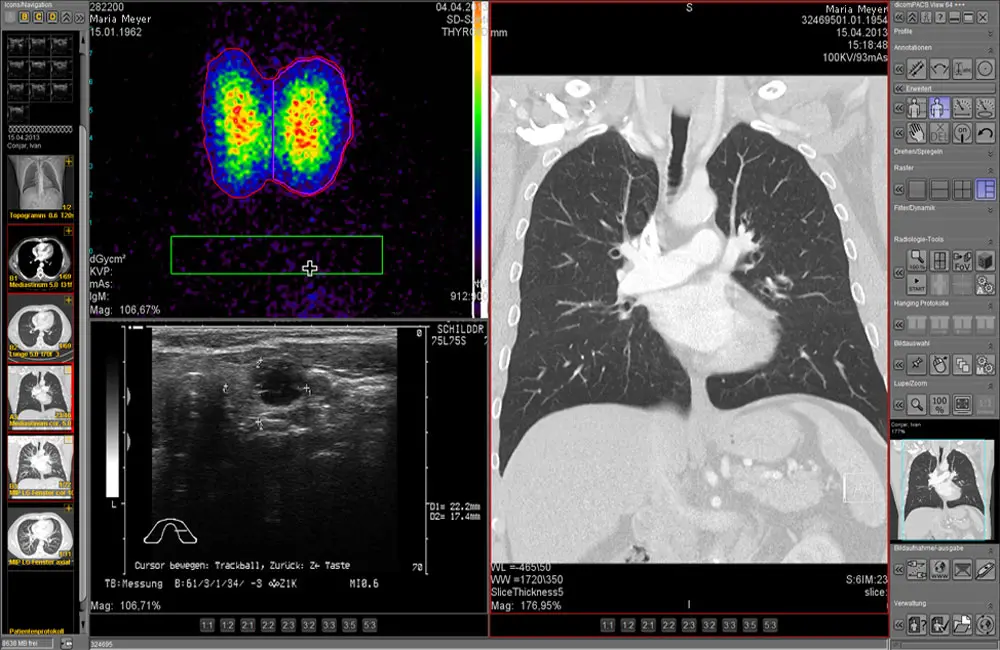
dicomPACS® from OR Technology is a manufacturer-independent PACS solution for intelligent and efficient image management. It supports all major modalities—including X-ray, CT, MRI, and ultrasound—as well as documents such as reports, doctor’s letters, and clinical findings. The system enables fast and secure archiving of image data and integrates seamlessly into standard information and practice management systems. Advanced archiving technologies ensure rapid data retrieval while maintaining the highest security standards.
Manufacturer-independent solution
flexible, future-proof PACS software system for all medical image and document formats
Easy integration
seamless integration into common management systems such as HIS, RIS and EPR
Secure data access
quick access to all data with the highest security standards and DICOM archiving
Modularly expandable
standardised but customisable solution for individual needs and future requirements
Comprehensive support
for your software solution
Our support team is at your side – by telephone and remote maintenance. We ensure the smooth operation of your software.
Overview of services
That’s why the professional digital image management system dicomPACS® is the best choice for you.
Easy adaptation to practice sizes and hospital departments. User-friendly interface with minimal training required. Customisable user interface and keyboard shortcuts for fast working.
Parallel processing and ‘perfect memory’ for markings and settings. Multiple patient diagnoses simultaneously, without loss of speed. Special adaptation for radiologists.
Easy integration into existing HIS or RIS (DICOM, HL7, BDT/GDT). Storage of all data in the international DICOM standard.
A wide range of tools such as window technology, surgical documentation, MPR/MIP functions. Integration of dictation and speech recognition as well as optional AI-supported chest screening.
Can be continuously expanded over a long period of time thanks to its modular structure. Excellent value for money with fast amortisation and remote maintenance support.
The complete picture – in our catalogues
Other OR 4Human software solutions
dicomPACS®MobileView
dicomPACS®MobileView is a web-based system that enables location-independent display and editing of radiological image data on mobile devices.
Learn more (PDF)ORCA®
The web-based viewer contains all the necessary basic functions for viewing and editing images, which can be done on mobile devices regardless of the browser used.
Learn moredicomPACS® Preoperative surgical planning
The prosthesis documentation module enables preoperative planning and documentation. Digital templates can be superimposed on the X-ray image or foil prosthesis templates can be used.
Find out more (contact form)- dicomPACS®MobileView

dicomPACS®MobileView
dicomPACS®MobileView is a web-based system that enables location-independent display and editing of radiological image data on mobile devices.
Learn more (PDF) - ORCA®

ORCA®
The web-based viewer contains all the necessary basic functions for viewing and editing images, which can be done on mobile devices regardless of the browser used.
Learn more - dicomPACS® Preoperative surgical planning

dicomPACS® Preoperative surgical planning
The prosthesis documentation module enables preoperative planning and documentation. Digital templates can be superimposed on the X-ray image or foil prosthesis templates can be used.
Find out more (contact form)
Our customers– our best ambassadors
Subject to technical changes. All details regarding disclaimer, copyrights and our legal requirements can be found at here.











