
ORCA®
Data protection-compliant medical cloud for archiving and sharing DICOM images and findings
ORCA® – The smart cloud for medical images
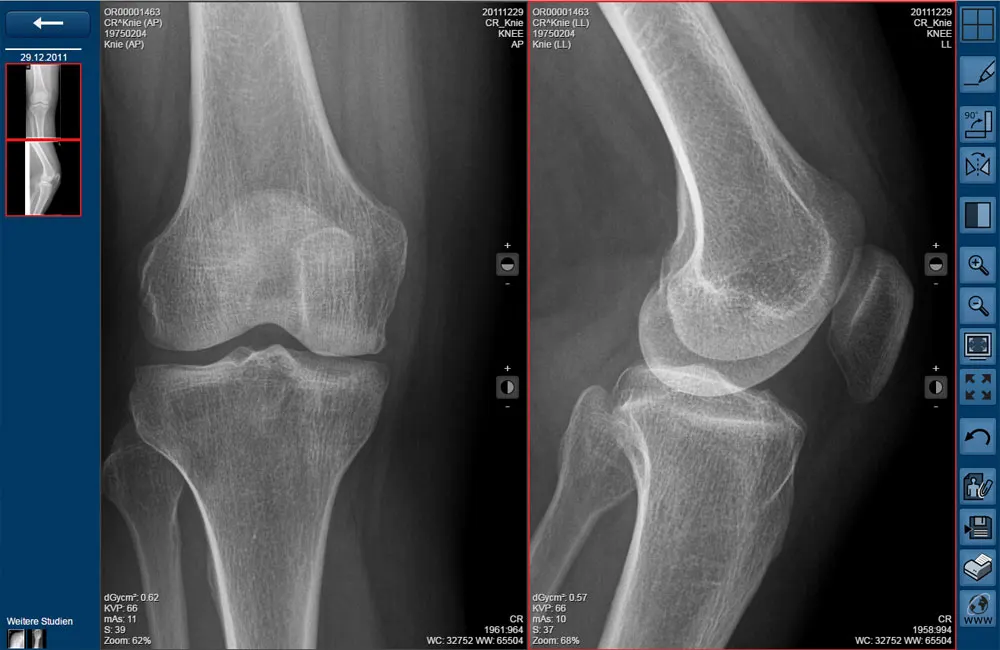
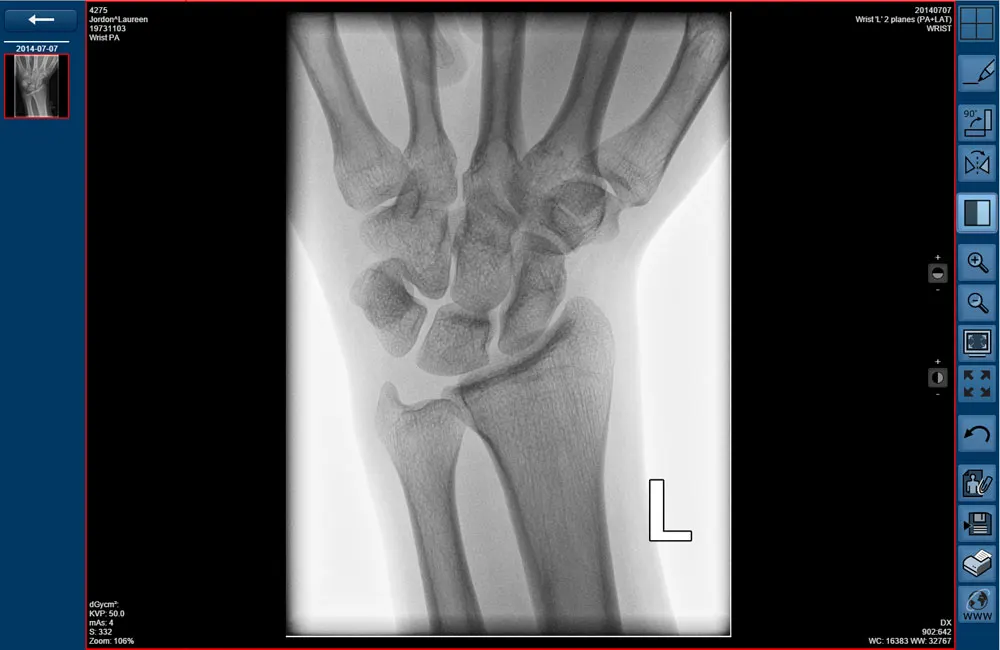
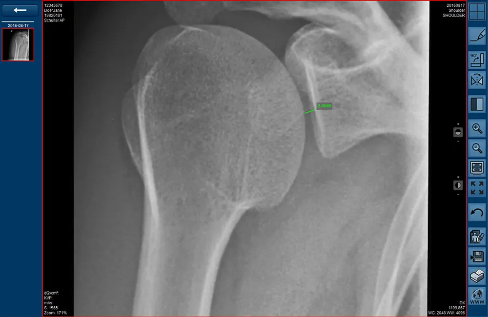
With ORCA®, you can securely store, view and share medical images and documents in a specially optimised cloud. Whether archiving directly from modalities or PACS, or easily exchanging information with colleagues, specialists and patients – everything is in full DICOM quality, browser-based and available at any time.
Secure data management
data protection-compliant storage and sharing of images and documents
Intuitive operation
easy to use, comprehensive editing and measurement tools
Flexible use
can be used anywhere: clinics, home offices, humanitarian missions or specialist consultations
High-quality image quality
lossless DICOM or JPEG display guaranteed
Comprehensive support
for your software solution
Our support team is at your side – by telephone and remote maintenance. We ensure the smooth operation of your software.
Overview of services
That’s why ORCA® Cloud is the best choice for stationary and mobile applications
for you
Getting started with ORCA® is easy through registration on the homepage. The application is intuitive to use, so no training is required. An online help feature is available for any questions.
Using ORCA® does not require expensive local infrastructure. Investments in your own servers or software are completely unnecessary. Billing is usage-based – either as a flat rate or according to the “pay per use” principle.
The available storage can be adjusted at any time to meet individual needs. Access is independent of location and device. The application is available 24/7.
Service contracts are not required. The software is always up to date and continuously maintained. Data is securely stored in modern data centers.
Automatic data backup is performed continuously. High security standards ensure the protection of sensitive information. High availability and protection against failures caused by hardware or software issues.
Images and documents can be shared easily. Workflows are optimally designed for efficient processes. Numerous features are specifically tailored to the requirements of the respective target group.
Two options, one cloud
ORCA® Archive – Upload and Archive
Images and documents can be transferred and archived directly from any PACS or imaging device in DICOM format to ORCA®. They can be accessed online at any time via ORCA® View. Export to local PCs with an existing PACS or direct access from dicomPACS® ensures seamless integration into existing workflows.
ORCA® Share – Share images and documents
ORCA®Share enables easy sharing of images, reports, and documents directly via the website or dicomPACS®. Recipients receive a link by email, with access and download fully controllable. Reports can be structured, signed, and stored in the history. Files such as PDFs or Excel sheets can be attached directly to studies.
The full picture – in our catalogs
Further OR 4Human software solutions
dicomPACS®MobileView
dicomPACS® MobileView is a web-based system that enables location-independent viewing and editing of radiological image data on mobile devices.
Learn more (PDF)OR dose inspector™
More safety, less effort: Our dose management system automatically records and documents radiation exposure. This ensures compliance with all regulations, optimizes your workflows, and protects your patients – efficiently and reliably.
Learn more- dicomPACS®MobileView

dicomPACS®MobileView
dicomPACS® MobileView is a web-based system that enables location-independent viewing and editing of radiological image data on mobile devices.
Learn more (PDF) - OR dose inspector™

OR dose inspector™
More safety, less effort: Our dose management system automatically records and documents radiation exposure. This ensures compliance with all regulations, optimizes your workflows, and protects your patients – efficiently and reliably.
Learn more
Subject to technical changes. All details regarding disclaimer, copyrights and our legal requirements can be found at here.



